Flecks! Investigations & Management

๐˜š๐˜ต๐˜ข๐˜ณ๐˜จ๐˜ข๐˜ณ๐˜ฅ๐˜ตโ€™๐˜ด ๐˜‹๐˜ช๐˜ด๐˜ฆ๐˜ข๐˜ด๐˜ฆ ๐˜๐˜ฏ๐˜ท๐˜ฆ๐˜ด๐˜ต๐˜ช๐˜จ๐˜ข๐˜ต๐˜ช๐˜ฐ๐˜ฏ๐˜ด ๐˜ข๐˜ฏ๐˜ฅ ๐˜”๐˜ข๐˜ฏ๐˜ข๐˜จ๐˜ฆ๐˜ฎ๐˜ฆ๐˜ฏ๐˜ต โฃ

โฃ๐™๐™ก๐™ช๐™ค๐™ง๐™š๐™จ๐™˜๐™š๐™ž๐™ฃ ๐˜ผ๐™ฃ๐™œ๐™ž๐™ค๐™œ๐™ง๐™–๐™ฅ๐™๐™ฎ:โฃ

โฃ

โ— Dark choroid sign- Not exclusive to Stargardt disease.โฃ

โ— Due to a lack of early choroidal hyperfluorescence, which isโฃ

blocked by high-grade lipofuscin accumulation in the RPE, thus improving visualization of the small retinal capillaries that become easily evident over the dark, non-fluorescent and high-contrast choroid (blockhead arrow)โฃ

โ— Atrophic fovea- choroidal vessels become visibleโฃ

โ— Fundus flecks are seen as small irregular hyperfluorescent lesionsโฃ (arrow). The clinically visible flecks do not necessarily correspond to the window-defects in the FFA.โฃ

๐™๐™ช๐™ฃ๐™™๐™ช๐™จ ๐˜ผ๐™ช๐™ฉ๐™ค๐™›๐™ก๐™ช๐™ค๐™ง๐™š๐™จ๐™˜๐™š๐™ฃ๐™˜๐™š:โฃ

โฃ

โ— Abnormally increased FAF represents excessive lipofuscin accumulation in the RPE.โฃ

โ— Inversely, decreased areas of FAF relate to low level RPE metabolic activity which normally underlies local atrophy with secondary photoreceptor loss.โฃ

โ— Abnormally high FAF intensity with all other normal parameters suggests that RPE lipofuscin deposition may be the first pathophysiological event in ABCA4-related disease.โฃ

โฃ

๐™€๐™๐™‚ :โฃ


โ— Normal in early disease. Reduced scotopic and photopic responses in advanced cases.โฃ

โ— Slow dark adaptationโฃ

โฃ

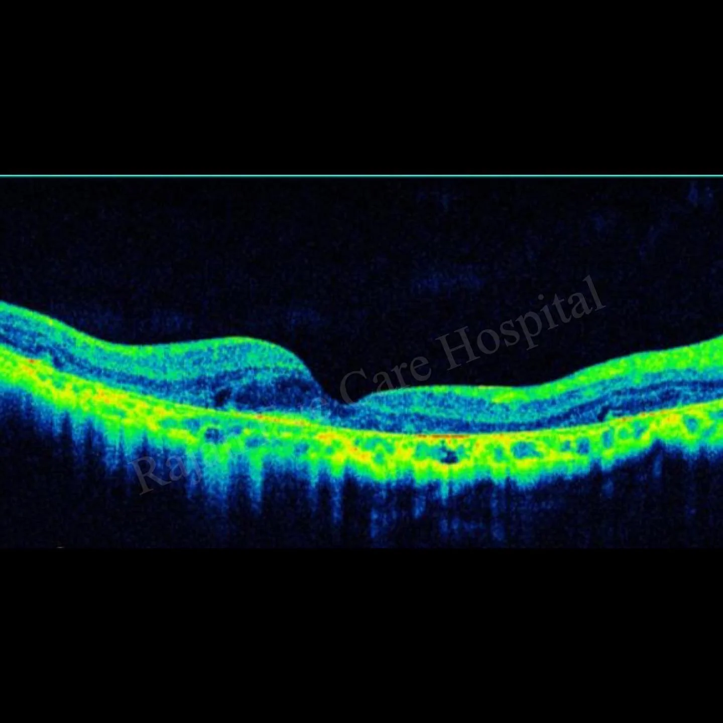
๐™Š๐˜พ๐™ :โฃ

โฃ

โ— Shows atrophic changes and disorganisation in photoreceptorsโฃ

โ— RPE and lipofuscin deposits maybe detected within the parafoveal RPE.โฃ


๐™ˆ๐™–๐™ฃ๐™–๐™œ๐™š๐™ข๐™š๐™ฃ๐™ฉ :โฃ

โฃ

โ— No proven treatment.โฃ

โ— Avoid Vitamin A and its supplements- makes the disease worse.โฃ

โ— PUFA such as Docosahexaenoic acid (DHA) shown to reduce toxicity ofโฃ

A2E ( In autosomal dominant Stargardt)โฃ

โ— Gene therapyโฃ

โ— RPE precursor cells derived from embryonic stem cells injectedโฃ

subretinally.โฃ

โฃ

www.ophthalmobytes.comโฃ

โฃ

Image from Rajan Eye Care Hospital

#ophthalmology#ophthal#doctor#health#medical#vision#education#optometry#medicalstudent#optometrist#medicine#eye#ophtho#ophthalmologist#ophthalmo#med#medicaleducation#ophthalmologyresident#ophthalmologyresidency#stargardtsdisease#maculardystrophy#retina#macular#retinaldystrophy

Previous
Previous

Pitted Disc

Next
Next

Flecks!